Studio Corvino
STUDIO CORVINO Odontoiatria e Ch. Maxillo Facciale
PRENOTA VISITA

Eccellenza e Dedizione per il Vostro Sorriso

Oltre 40 anni di esperienza nel settore odontoiatrico a Casal di Principe.

Salute Orale e Tecnologia

La nostra filosofia si fonda sulla convinzione che la salute orale sia un pilastro essenziale per una qualità di vita ottimale. Per questo, investiamo costantemente in strumentazioni di ultima generazione.

Laser Terapia

Trattamenti mininvasivi per gengive e tessuti molli.

Scanner Intraorale

Impronte digitali 3D precise e veloci, senza fastidi.

Tecnologia

Il Nostro Team

Professionalità al tuo servizio

Dr. Raffaele Corvino

Medico Chirurgo Spec. Maxillo Facciale

Dr.ssa Isabella Corvino

ODONTOIATRA SPECIALISTA

Segreteria

ACCOGLIENZA E AMMINISTRAZIONE

Le Nostre Cure

Igiene e Prevenzione

Ortodonzia

Implantologia

Estetica Dentale

Endodonzia

Protesi

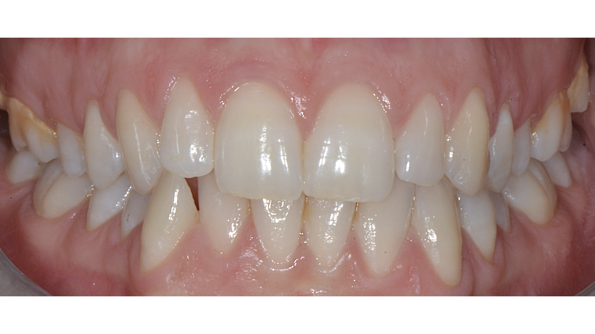
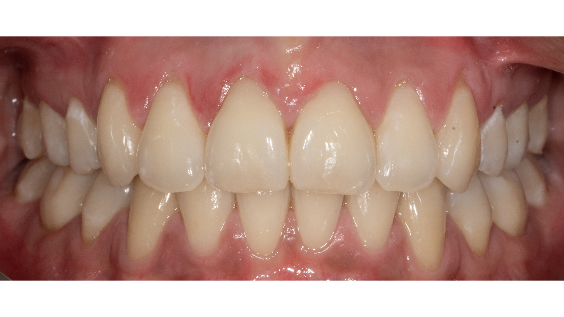
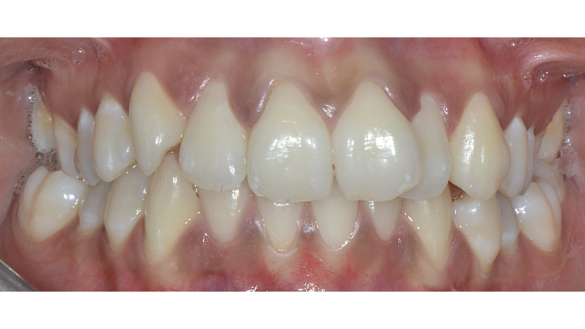
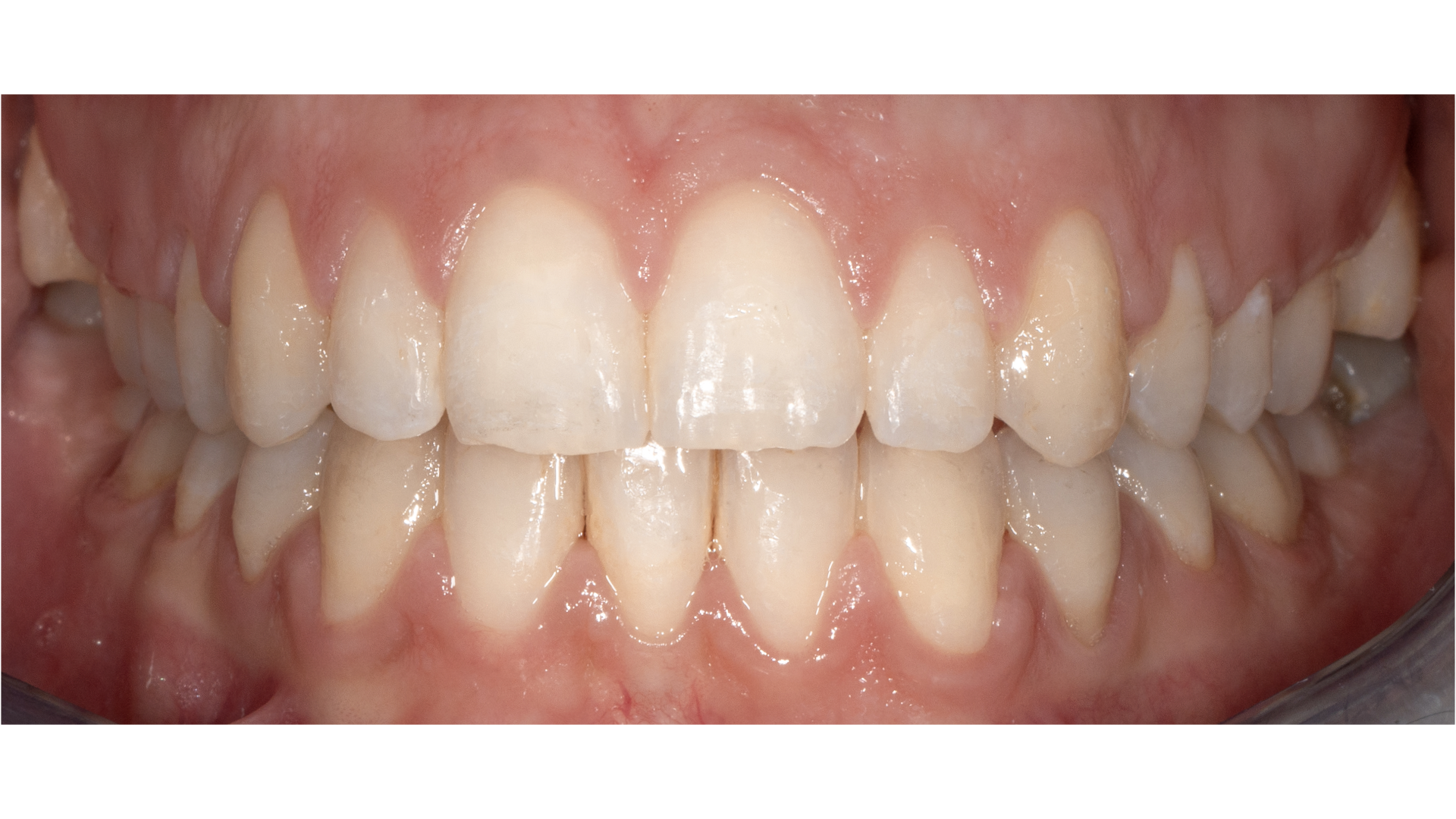
Casi Clinici - Risultati Reali

PRIMA
DOPO

Riabilitazione Estetica Arcata Superiore

PRIMA
DOPO

Allineamento Ortodontico

Wiki Clinica

Il Diario del Sorriso